埼玉県坂戸市(東武東上線 北坂戸駅 徒歩10分)にある、もりや歯科 院長 森谷良行(もりやよしゆき)です。
30代女性。オフィスホワイトニング1回法。22000円

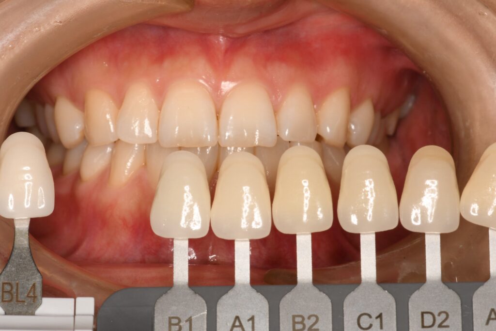
オフィスホワイトニング前の状態です。白さはあるのですが、さらに白さを求めているケースです。

当院の色見本ではB1ぐらいかな〜〜って感じ
これは結構白い方です
それでも気になってしまうことも多々あります

当院でのホワイトニング1回法にて施術直後の写真です。BL3ぐらいまで白くなりました。2回、3回と行えばBL1ぐらいまで白くなると思いますが、本人が満足したため1回でホワイトニングを終えることにしました。当院のホワイトニング剤は1日で3回までを限度にしています。理由は、4回以上行っても効果がほぼなくなることと痛みが強くなってくるのでやっていません。もし、白さを追求するさいは4週前後明けてから、もう一度行うようにしています。
〜〜〜以下、患者さんの感想〜〜〜
歯の着色などが気になり自分でも色々と市販のもので試してはいたのですが効果を感じにくく、近場で通えるホワイトニングでの口コミが良い歯医者さんを見つけたので、今回ホワイトニングの治療で予約しました。担当していただいた方も優しく分かりやすくリスクや今後の黄ばみ対策などを説明していただきました。施術もスピーディーで痛みや滲みもなくすぐに終わり、効果も十分に感じられました。
ずっとホワイトニング治療といえばなんとなく敷居が高く、痛みもあり時間もかかり通いにくいものなのかなとイメージがあり治療を受けるのをなんとなく迷っていましたが今後も気兼ねなく通える歯医者さんを見つけられたと思い嬉しいです。
今後はホームホワイトニングも検討しつつまたオフィスホワイトニングでも定期的に通わせていただきたいと思ってます。今回はありがとうございました。
〜〜〜以上〜〜〜
嬉しい感想をもらえて嬉しいです。これからもよろしくお願いいたします。
どんな薬剤を使用しているかなどの詳しいことは下記ページに書いていますので参考にしてください。
