埼玉県坂戸市(東武東上線 北坂戸駅 徒歩10分)にある、もりや歯科 院長 森谷良行(もりやよしゆき)です。
オフィスホワイトニング、2回法、、22,000円

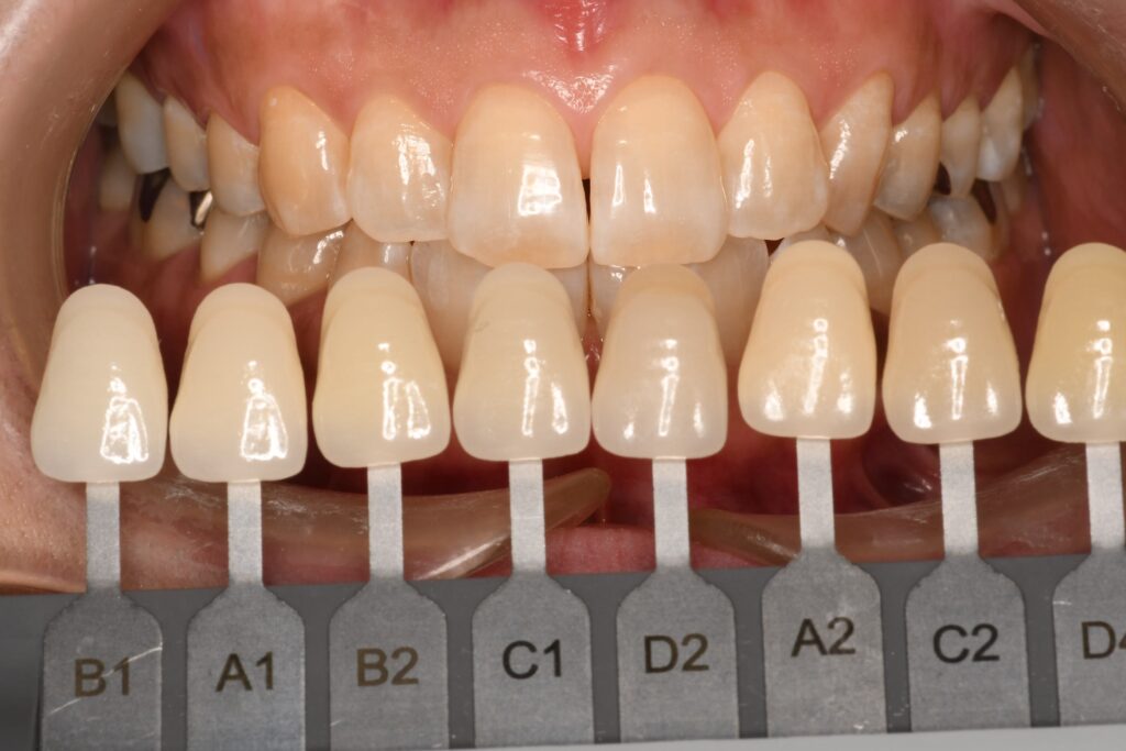
オフィスホワイトニング直前の状態です。全体的にA2ぐらい、部分的にA3以上になっています。

全体的にB2ぐらいまで白くなりました。部分的に古さが残っているぶいは、何度かオフィスホワイトニングを繰り返すと目立たなくなってきます。
〜〜〜以下、患者さんの感想〜〜〜
以前より気になっていたホワイトニングの施術を受けました。最初に歯科衛生士さんがわかりやすく説明してくれて、しみる人もいるとの事でとても不安でしたが、施術中は口の中が温かく感じる程度で痛みは全くありませんでした。結果は事前に撮った写真と見比べると白く綺麗になっていて満足です。やって良かったです。
〜〜〜以上〜〜〜
施術中にしみることもなく、ほんのり温かさを感じる程度で良かったです。これからは白くなった状態を長く保つためにお手伝いをさせてください。
