埼玉県坂戸市(東武東上線 北坂戸駅 徒歩10分)にある、もりや歯科 院長 森谷良行(もりやよしゆき)です。
30代女性。オフィスホワイトニング1回法。22000円

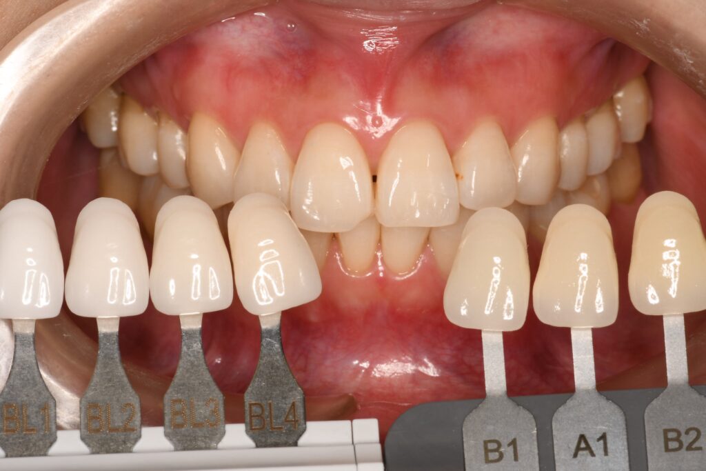
ホワイトニング前の歯の色です。施術前から歯の白さを持っていましたが、もっと白さを求めていらっしゃいました。歯と歯の隙間にプラスチックで治療をしている場所が若干着色をしています。この部位はホワイトニングをしても変化しづらい場所です。
ホワイトニングは決して万能ではなく、できないこともありますし、やってはいけない人もいます
詳しくはもりや歯科のホワイトニングLPに掲載しています

ホワイトニング直後の写真です。若干白さを得ることができました。本人の満足が得られたか微妙な感じですが、今回は1回の施術で終えました。
〜〜〜以下、本人の感想〜〜〜
今回こちらでホワイトニングをして頂きました。
知覚過敏があるので少し心配でしたが、しみないように薬剤を塗ってくれたお陰で全く問題なく施術を受けることが出来ました。時間も10分と短く思ったより簡単に出来たので、ずっと気になっていた事を思い切ってやってみて良かったと思いました。
〜〜〜以上〜〜〜
ホワイトニングは1回行っておしまいではなく、継続することでより白さと健康を継続することができます。
