埼玉県坂戸市(東武東上線 北坂戸駅 徒歩10分)にある、もりや歯科 院長 森谷良行(もりやよしゆき)です。
インビザライン矯正治療。治療開始時62ステージ→追加アライナー1回、最終的に70ステージ。治療費554,400円+調整料(初回)16,500円+調整料5,500円×14回+リテーナー55,000円。
1日20時間以上装着、1ステージ10日間。矯正治療期間901日間、29ヶ月、2年5ヶ月。

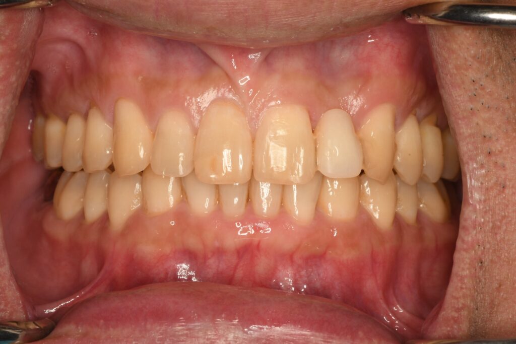
前歯の本数が左右で差があり、なおかつ隙間がある状態でした。右側に歯を寄せながら隙間を埋めて見た目とかみ合わせの改善を行いました。

最初の写真から比べると別人のように整いましたよね。
〜〜〜以下、患者さんの感想〜〜〜
治療を始めて早3年弱、追加アライナーによる前歯を動かす治療も終了し、最終固定用アライナー(歯につけた突起を外して現状の歯列をキープするためのちょっと硬めのアライナー)を装着してから1ヶ月が経過しつつあります。
先生に診察頂いたところ、経過は順調で、最終固定も問題なさそうなので、あとはこの歯列が動かないように、1日12時間程度のアライナー装着でok、との診断となりました。
この段階にたどり着いてつくづく感じたのは、通常の金属を入れる歯列矯正と比較して非常に簡単で負担も少なく、しかもきっちり当初計画のとおりに矯正ができるのであれば、もっと若いうちにやっておけばよかったなぁ、ということです。
無論、インビザラインだけのおかげでなく、先生やスタッフの皆さんの気遣いや丁寧な説明、診察や予定通りに歯が動かないときの治療方針の軌道修正などがあってのものだと思います。
折角これだけ綺麗な歯並びになったので、ホワイトニングや歯列キープのための夜間のアライナー装着、日常的な歯磨きなどを怠らず、QoT(Quality of Teeth)を保ちたいと思います!
先生ならびにスタッフの皆様、本当にありがとうございます。心より感謝申し上げます。
〜〜〜以上〜〜〜
【治療相談時のブログ】https://moriyashika.com/archives/6371
【治療開始時のブログ】https://moriyashika.com/archives/6461
【治療前半のブログ】https://moriyashika.com/archives/6503
【治療後半のブログ】https://moriyashika.com/archives/6850
