埼玉県坂戸市(東武東上線 北坂戸駅 徒歩10分)にある、もりや歯科 院長 森谷良行(もりやよしゆき)です。
オフィスホワイトニング、2回法、、22,000円

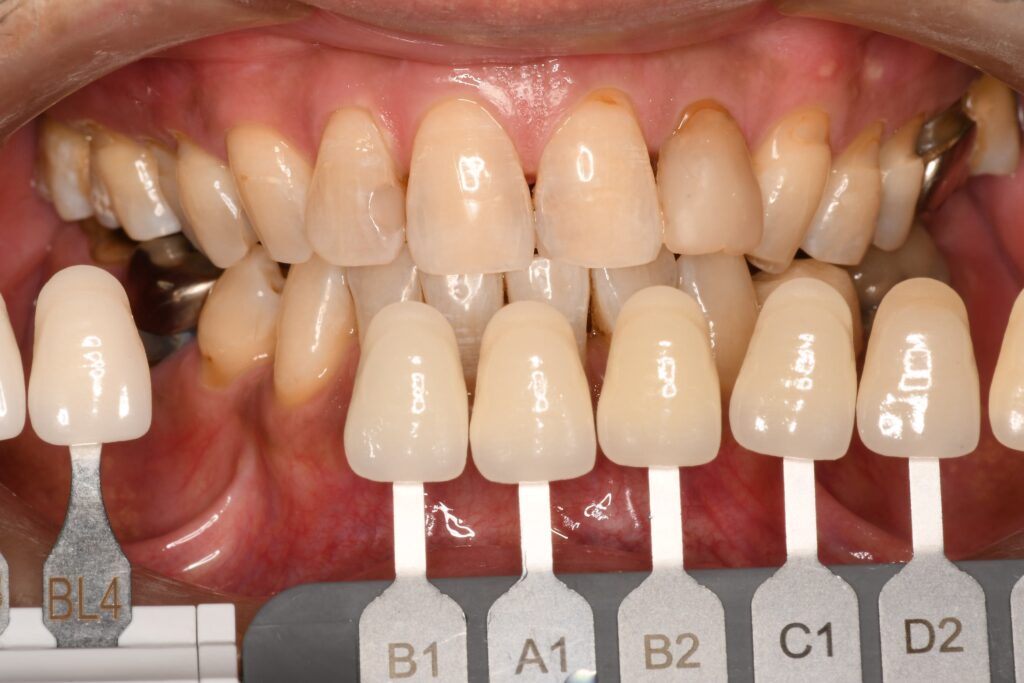
ホワイトニング前の写真です。C2前後でしょうかね。歯は年とともに色が濃くなる傾向があります。ある意味、年相応とも言えます。詰め物も多数あるので、詰め物などは表面の汚れは落ちますが、元々の色は変わりません。ホワイトニングすることで、自分の歯と色の差が大きくなり目立つようになることもあります。

ホワイトニングの写真です。A1より白くなったかな。詰め物やかぶせ物は、他院で治療をする予定でいます。医院によってはホワイトニングを行なっていないところもあります。治療は別で行い方でも当院はホワイトニングを行なっています。責任問題になりそうば事は、ホワイトニング前に理解してもらうに心がけています。
〜〜〜以下、患者さんの感想〜〜〜
ホワイトニングをして頂きました。
結果は大満足です。
スタッフの方の対応も素晴らしく
また、ホワイトニングを定期的にもりや歯科さんで続けたいと考えてます。以前、セルフホワイトニングを数回したことがありましたがもりや歯科さんのほうが使用している薬品が違うせいもあると思いますが断然白くなりました。
次回もよろしくお願いします。
〜〜〜以上〜〜〜
これからもこれからも宜しくお願いいたします。
