埼玉県坂戸市(東武東上線 北坂戸駅 徒歩10分)にある、もりや歯科 院長 森谷良行(もりやよしゆき)です。
オフィスホワイトニング、2回法、22,000円

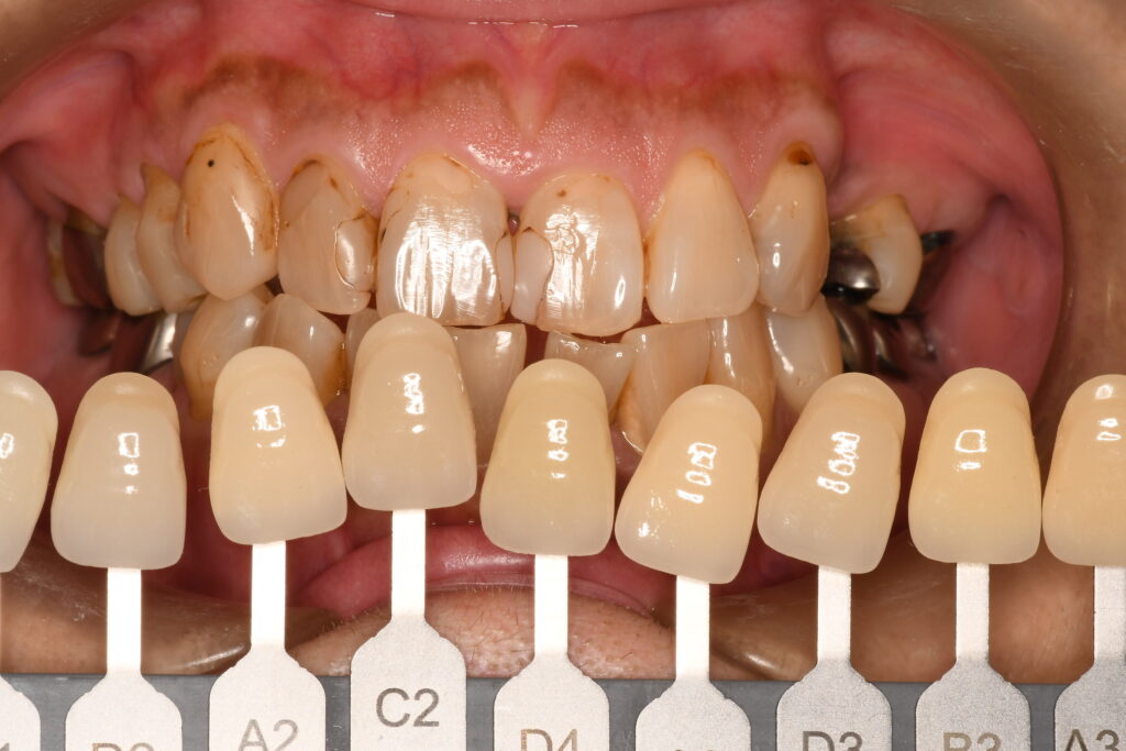
施術前の色はこんな感じでした。

施術後はここまで白くなりました。ただすでに治療をしている部位については限界があります。このことは施術前にお伝えしています。理想は詰め物のやり直しをすると数段見た目が変化すると思います。
〜〜〜以下、患者さんの感想〜〜〜
ホワイトニングではじめて伺いました。
花粉症で不安な事もありましたが、はじめにとても丁寧に説明して頂き、不安払拭!2サイクルにチャレンジし結果3トーンくらい白くなり大満足です。途中しみることもなかったです。もっとはやくお世話になれば良かったと思いました。次回もよろしくお願いいたします。
〜〜〜以上〜〜〜
これからは良い状態を保つためにお手伝いをさせてください。
