埼玉県坂戸市(東武東上線 北坂戸駅 徒歩10分)にある、もりや歯科 院長 森谷良行(もりやよしゆき)です。
インビザライン矯正治療。59ステージ。治療費554,400円+調整料(初回)16,500円+調整料5,500円×回数+リテーナー55,000円。
1日20時間以上装着、1ステージ10日間。つまり590日、約20ヶ月。約1年8ヶ月の計画です。

矯正治療のゴールって学術的にはある程度存在しています。個人的に大事にしているのが患者さんの満足度合いです。特にインビザライン矯正のように患者さんにアライナーの交換をお願いするような治療方法は患者さんのモチベーションが治療の成果に大きく影響します。満足度が高まってからモチベーションを維持するのが難しくなると治療が成立しないので。

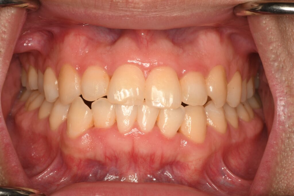
最初がこんな感じですから患者さんの満足してくれていますので、積極的な治療を終えて良くなった歯並びを保つためにリテーナーを装着してもらうことにしました。

「もっとこうしたい」がないわけではないのですが、患者さんが満足しているので積極的にはを動かすのは終了させて、この状態を保つことにしました。
〜〜〜以下、患者さんの感想〜〜〜
インビザラインの矯正自体は1月に終わり、アライナーが届き、歯のアタッチメントの取り外しが終わりました。ここからはリテーナーでの生活になりますが、油断はせず今までと変わらず付けようと思います。アタッチメントは取れた瞬間、舌でなぞると開放された感を強く感じました。時間は追加アライナーなどで想定より1年多くかかってしまいましたが矯正してよかったです。
〜〜〜以上〜〜〜
歯をうごかしたらおしまいではありません。動かし終わった状態を保つためのことをする必要があります。これからは良くなった状態を保つためにお手伝いをさせてください。
【治療相談時のブログ】https://moriyashika.com/archives/6411
【治療開始時のブログ】https://moriyashika.com/archives/6484
【治療前半のブログ】https://moriyashika.com/archives/8706
【治療後半のブログ】https://moriyashika.com/archives/10167
