埼玉県坂戸市(東武東上線 北坂戸駅 徒歩10分)にある、もりや歯科 院長 森谷良行(もりやよしゆき)です。
インビザライン矯正治療。全47ステージ。治療費480,700円+初回調整料16,500円+調整料5,500円×回数+リテーナー55,000円。
1日20時間以上装着、1ステージ7日間。つまり329日、約11ヶ月の計画です。

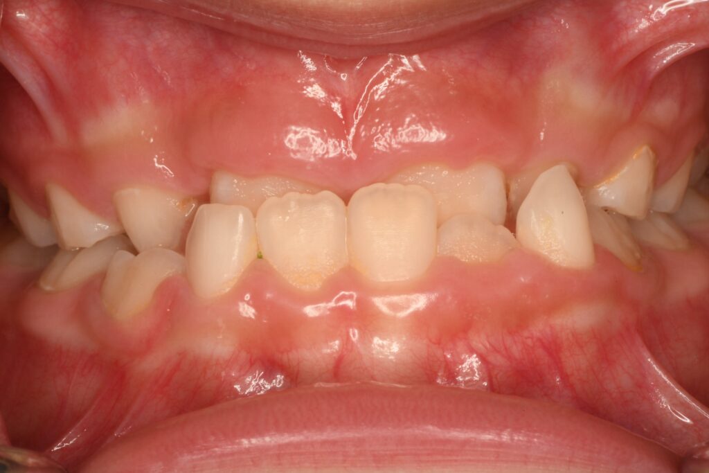
受け口になっていることが気になっている女の子のケースです。お姉ちゃんがもりや歯科で矯正治療をして羨ましいと思っていたようで、本人はやる気満々‼︎
年齢的に脳の言語に関する成長が急激に発展する時期なので、矯正装置がお口の中に入る事で口数が減ってしまうことが気になっています。ただ、本人のやる気はものすごくあるのでお母さんと話し合ってやる方向で矯正検査をしました。
検査をした結果は、少しタイミングが早いですが本人の気持ちも踏まえて始めることにしました。
〜〜〜〜以下、本人の感想〜〜〜〜
長女に続き、次女も矯正治療でお世話になります。院長先生はとても知識が豊富で、あらゆる心配や疑問を解説してくれ、安心して治療が受けられています。助手の方も優しく丁寧に教えてくださります。長女より低年齢で治療を始めたので少し不安な点もありましたが、おやつの時間も定時になり歯磨きもしっかりしてくれ、生活面でも始めて良かったと感じています。
〜〜〜〜以上〜〜〜〜
本人がやる気になっていると、すんなりと嫌がるようなことも変化させてくれます。本当に子供達の可能性というか柔軟性のスゴさをみせれくれます。矯正治療は長期間かかりますのでこれからも一緒に頑張りましょう。
