埼玉県坂戸市(東武東上線 北坂戸駅 徒歩10分)にある、もりや歯科 院長 森谷良行(もりやよしゆき)です。
インビザライン矯正治療。81ステージ。治療費766,700円+調整料(初回)16,500円+調整料5,500円×回数+リテーナー55,000円。
1日20時間以上装着、1ステージ10日間。つまり810日、27ヶ月・2年3ヶ月の計画です。

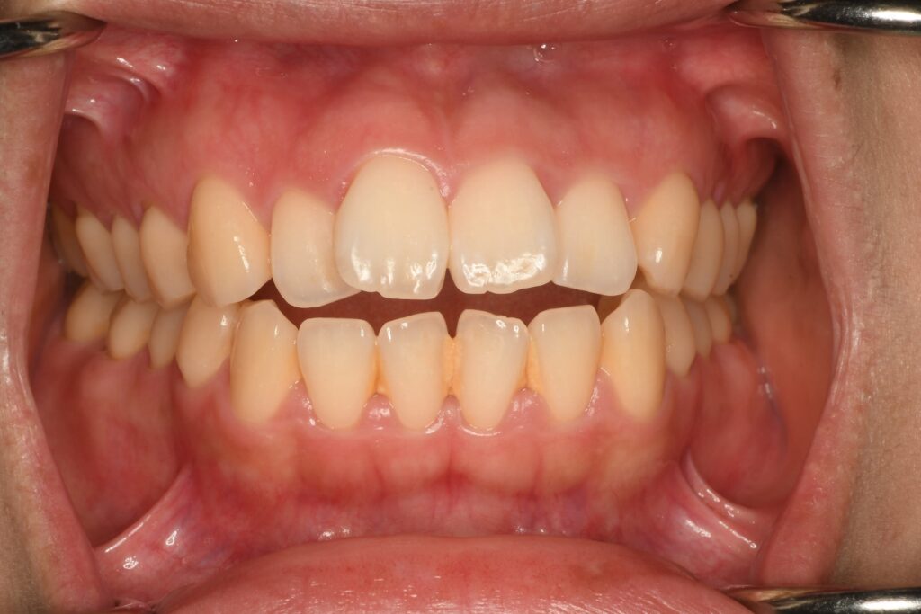
写真を見てもらっても分かる通り、前歯が噛んでいません。正しい表現をさせてもらうと、前歯は噛んでいるわけではありません。下の前歯に上の前歯が被さるような位置関係になるのが正常です。今回のようなケースは気にしたいのが奥歯の位置関係です。。これをハッキリさせる為には精密検査が必要です。
検査結果から奥歯を奥へ移動させて隙間を作って、前歯を整える計画にしました。

↑は治療後の予想イラストです。こんな感じになるとしたら良いと思いませんか?
〜〜〜〜以下、患者さんの感想〜〜〜〜
【2024年10月11日治療開始】
以前から出っ歯気味であること、前歯(上下)が閉じきらずに隙間ができてしまうことが気になっていました。最近、自分の周りでも矯正をしている人が多いことから、矯正への興味がより強くなてきていたところ、知り合いがこちらでインビザラインをして、先生もとても良い方だったとの話を聞き、無料カウンセリングに行ってみることにしました。そこでは歯列矯正の種類や費用について、資料を用いて丁寧に説明して頂きました。概要についてはなんとなく理解しましたが、ただ詳しい検査をしていない段階であったため、自分がどのくらいの期間、どのように治療していくかは、その場では分かりませんでした。改めて検査の予約をとり、詳しい検査をしてから3週間後に治療計画を教えて頂きました。
シミュレーションの映像で、自分の歯がどのように変化していくのかを分かりやすくイメージできました。ただ、第一印象、自分が想像していた綺麗な歯並びとは違い、前歯の引っ込みには限界があり、そんなに変わっていない?というような印象を受けました。また、時間がかかるケースと言われ治療期間は2年以上と知り、前向きに考えていた矯正開始に迷いが生じました。でも、その場ですぐにするかしないかの決断をしないといけないような雰囲気を感じたため、モヤモヤしながらもその場で手続きを行いました。帰ってからも自分の決断が良かったのか悩んだのも事実です。シミュレーション映像を一度見ただけでの印象だったので、可能であれば、シミュレーション映像を自分のスマホで撮らせてもらって、持ち帰ってゆっくり確認しながら、慎重に考えてから決断できたらありがたかったと感じました。
【2025年10月4日 治療計画相談】
治療を開始するにあたって、親不知を4本抜くことになりました。2本ずつ抜歯し、全て抜歯が終わったその日にそのままマウスピースの装着が始まりました。初めはマウスピースの取り外しに苦戦しましたが、すぐに慣れ、着脱もスムーズになりました。また、着け始めた当初はやはり、喋りづらさがあり、活舌が悪くなった印象でしたが、それも今では特に何も不便を感じなくなりました。それから、アタッチメントが当たる部分に口内炎もできて痛かったです。マウスピースは、新しいステージに切り替わった時には少し窮屈さを感じます。
マウスピースは食事の際に必ず外していても、使用していると汚れが気になってくるので、毎晩食器用洗剤を使って洗っています。また、歯に隙間ができ始めると食べた物も歯に詰まりやすくなり、なかなか歯ブラシだけでは取りきらないので、寝る前の歯磨きの際には必ず、フロスをするようにしています。外出の時や、イベントごとに時には普段の日よりも、取り外しの機会が増えがちですが、しっかりと装着時間を確保できるよう意識しています。
歯に物が挟まる頻度が増えることで、歯が確実に動いていることは分かるのですが、パッと見た感じでは変化が感じにくく、ステージでマウスピースを見比べても、今どこが動いているのかを実感しにくいなと感じます。こういう時に、やはり最初に見せて頂いたシミュレーション映像を自分で記録させてもらっていれば、それを見ながら「今ここがこう変わっているだな」という様子が分かって、自分のモチベーションにもつながるのにな…と思いました。
〜〜〜〜以上〜〜〜〜
治療計画が2年以上と長期間なので、患者さんと一緒に頑張っていきます。よろしくお願いします。
