埼玉県坂戸市(東武東上線 北坂戸駅 徒歩10分)にある、もりや歯科 院長 森谷良行(もりやよしゆき)です。
インビザライン矯正治療。17ステージ。治療費766,700円+調整料(初回)16,500円+調整料5,500円×回数+リテーナー55,000円。
1日20時間以上装着、1ステージ10日間。つまり170日、約6ヶ月の計画です。

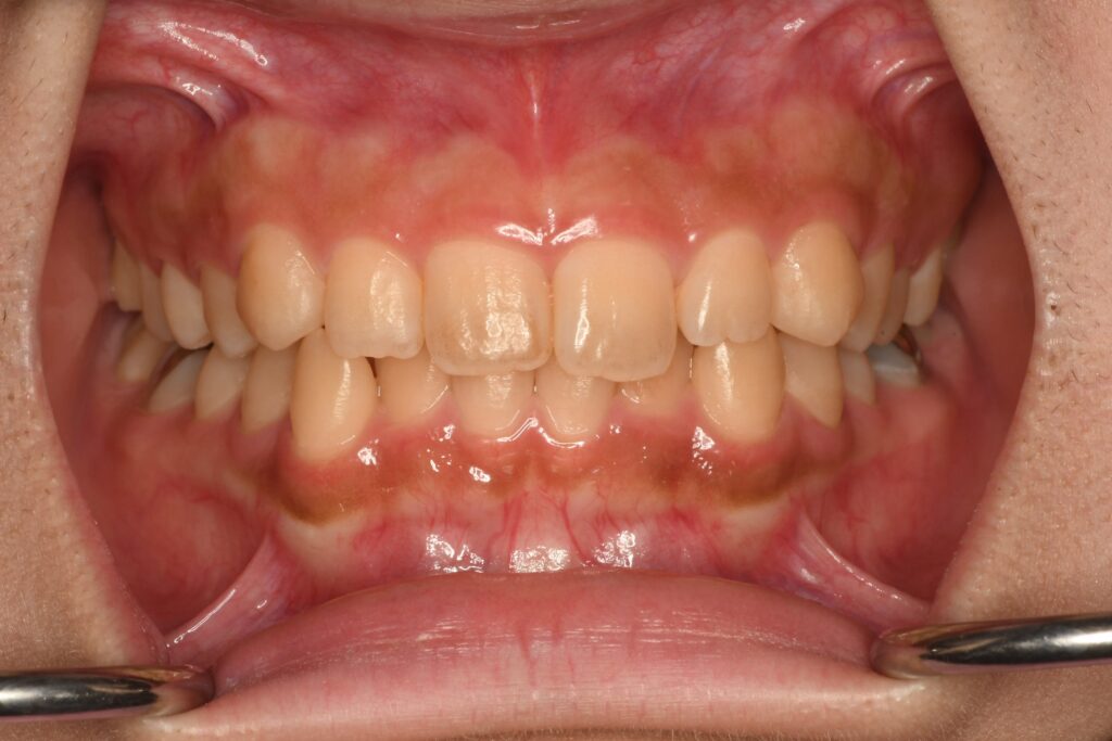
軽度ではありますが、歯と歯が重なって凸凹しているのが気になる10代女性のケースです。このような場合でも検査をしないで矯正治療をすることは安直すぎると感じています。なぜなら、何かあった時を想定すればするほど検査の重要性が高まる経験を私自身がしているからです。雑に表現しますが何もないときは何でもいいんです。だからこそ、治療前は一大事が起きる前提で検査をすることが大事だと考えています。
精密検査の結果、今回はシンプルに歯を動かすことで本人が気になっていることを解消できる事がわかりました。
〜〜〜以下、患者さんの感想〜〜〜
マウスピース矯正を始めました。そこまで歯並びが酷くは無いのですが食事中に唇を噛んで口内炎ができるのが改善すればいいなと思いはじめました。つけ始めは違和感がありましたが2、3日するとマウスピースをつけても特に何も違和感を感じないで生活をすることができています。食事はアタッチメントの影響か少し噛む時に違和感があります。間食やジュースを飲むことができないので良いダイエットになりそうです笑 長い道のりにはなりますがゆっくり矯正していきたいと思います。
〜〜〜以上〜〜〜
非常にポジティブに捉えてくれている事がありがたいです。矯正治療は長期間かかりますので、一緒に頑張っていきましょう。よろしくお願いします。

治療後の予想イラストです。この状態を目指して患者さんと一緒に頑張ります。
