埼玉県坂戸市(東武東上線 北坂戸駅 徒歩10分)にある、もりや歯科 院長 森谷良行(もりやよしゆき)です。
インビザライン矯正治療計画
治療開始時:38ステージ(約1年1ヶ月間)
1日20時間以上装着していただく前提で、1ステージは10日間。
治療終了時:110ステージ
追加アライナー:4回
費用
・治療費:528,000円
・調整料:5,500円×20回数
・リテーナー:55,000円
年齢・性別
50代・女性
本人の感想
前歯の並び方や奥歯の噛み合わせなど、満足できるまで治療を受けさせていただいて、誠に有難う御座いました。
歯並びが綺麗に揃ったことで気が付いたことは、歯磨きがとても楽になりました。以前は凸凹していたため、歯ブラシをあっちこっちに向けて磨いていたので、ブラシ部分がすぐにボロボロになってましたが、今はかなり長持ちするようになりました。
一番嬉しいことは、歯を見せて笑うことに抵抗が無くなったことです。凹凸が解消されたからか、なんとなく色が白くなった?ような気もしています。
昔に矯正した時は、リテーナーをしなかったことで元に戻してしまったので、今回は同じ轍を踏まないよう気を付けたいと思います!
今リテーナーは夜寝る時だけ装着しています。
あとは定期的に歯石を取っていただいて、今ある歯を大切にしていきたいと思っております。ホワイトニングもお願いしたいです!
先生、スタッフの皆様、今まで大変お世話になり有難う御座いました。今後とも宜しくお願い致します。
担当医師よりのコメント
抜歯について

患者さんの希望を叶えつつ、僕自身の経験からのことはお伝えしています。何でもかんでも患者さんの要望を聞いたことで治療として成立しないこともありますので、バランスが大事だと思っています。
当初の予定の倍以上の期間をかけましたが、本人の満足度も高まって良かったです。
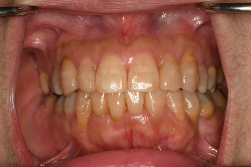
治療の経過状況
1:治療の相談
2:治療開始
3:治療前半
4:治療後半
5:治療後
当記事
