埼玉県坂戸市(東武東上線 北坂戸駅 徒歩10分)にある、もりや歯科 院長 森谷良行(もりやよしゆき)です。
オフィスホワイトニング、1回法、22,000円

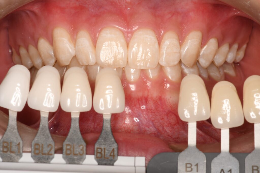
A1ぐらいの色合いでしょうか?
10代の方なので、元々の歯の色が濃くなっていません。特に着色しやすい食事や飲み物を頻度高く飲食していたわけでもないと思われます。

ホワイトニングを1回行った直後の写真です。BL3とBL4の中間ぐらいまで白くなりました。本人の満足もあり、今回はここまでとしました。
〜〜〜以下、患者さんの感想〜〜〜
しっかりとしたカウンセリングがあり、施術内容や注意点を丁寧に説明してもらえたので、初めてのホワイトニングでも不安なく受けられました。施術前と施術後で鏡を見比べると、自分でもはっきり分かるほど歯が白くなっていて感動しました。清潔感のある空間で対応も親切だったので、今後も継続して通いたいと思います。効果だけでなく、無理な勧誘がなかった点も好印象で、安心して相談できるクリニックだと感じました。仕上がりにとても満足しています。友人にもおすすめしたいです。また行きます。
〜〜〜以上〜〜〜
また来たいと言ってもらえたことが嬉しいです。これからはより良い状態を保つためにお手伝いをさせてください。
