埼玉県坂戸市(東武東上線 北坂戸駅 徒歩10分)にある、もりや歯科 院長 森谷良行(もりやよしゆき)です。
インビザライン矯正治療計画
50ステージ(約1年11ヶ月間)
1日20時間以上装着していただく前提で、1ステージは10日間。
費用
・治療費:528,000円
・抜歯(1本)11,000円×1本
・調整料:5,500円×回数
・リテーナー:55,000円
年齢・性別
40代・女性
本人の感想
途中、体調不良により予定通り通えなくなってしまい、次の診察時リテーナーの受け取りのはずだったのでどうしようかと悩んでいました。
その旨をお伝えしてリテーナーを宅配して頂けないか相談させてもらったところ、体調が整ったらまた来て頂ければ大丈夫ですので、と快く了承していただきました。
歯並びは、長年気になっていた部分も綺麗に収まって歯を見せて笑うことに抵抗が無くなりました。
本当にやって良かったです。
マウスピースは透明なので、矯正中もあまり目立たないですしお手入れもそんなに大変さを感じなかったので、自分に合っていたんだと思います。
今は、夜だけのマウスピースをつけていますが、できるだけ長い時間つけている方がいいとの事でした。せっかく綺麗に整った口元になれたので、後戻りのないようにケアしていきたいです。
担当医師よりのコメント

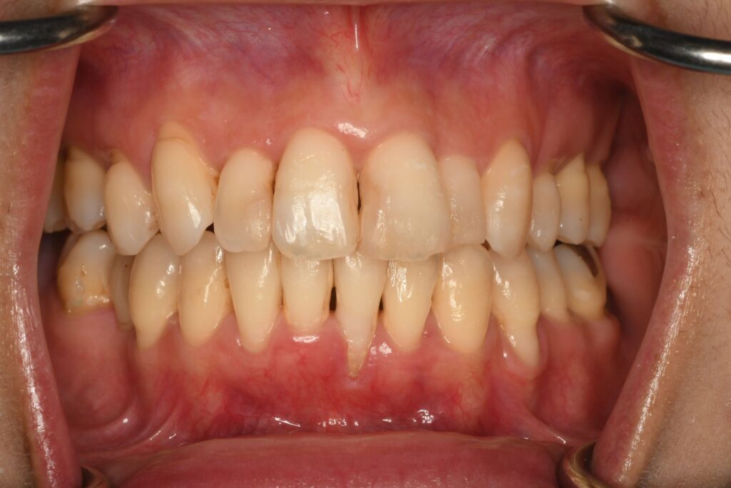
今現在の状態です。随分良くなりました。
下の前歯の歯ぐきの位置が変化をしています。今後、悪い方へ変化しないか要注意です。
本人も歯ブラシを頑張っていたとのことでしたが、それだけで起きるような変化ではないとも言えるので、次回は短い間隔で経過を診ることにしました。
最初の状態

う〜〜ん、見れば見るほどきになるな〜〜。しっかりと経過をおっていきます。

治療の経過状況
1:治療の相談
2:治療開始
3:治療前半
4:治療後半
5:治療後
当記事
