埼玉県坂戸市(東武東上線 北坂戸駅 徒歩10分)にある、もりや歯科 院長 森谷良行(もりやよしゆき)です。
インビザライン矯正治療。57ステージ。治療費766,700円+調整料(初回)16,500円+調整料5,500円×回数+リテーナー55,000円。
1日20時間以上装着、1ステージ10日間。つまり570日、約19ヶ月、約1年7ヶ月の計画です。


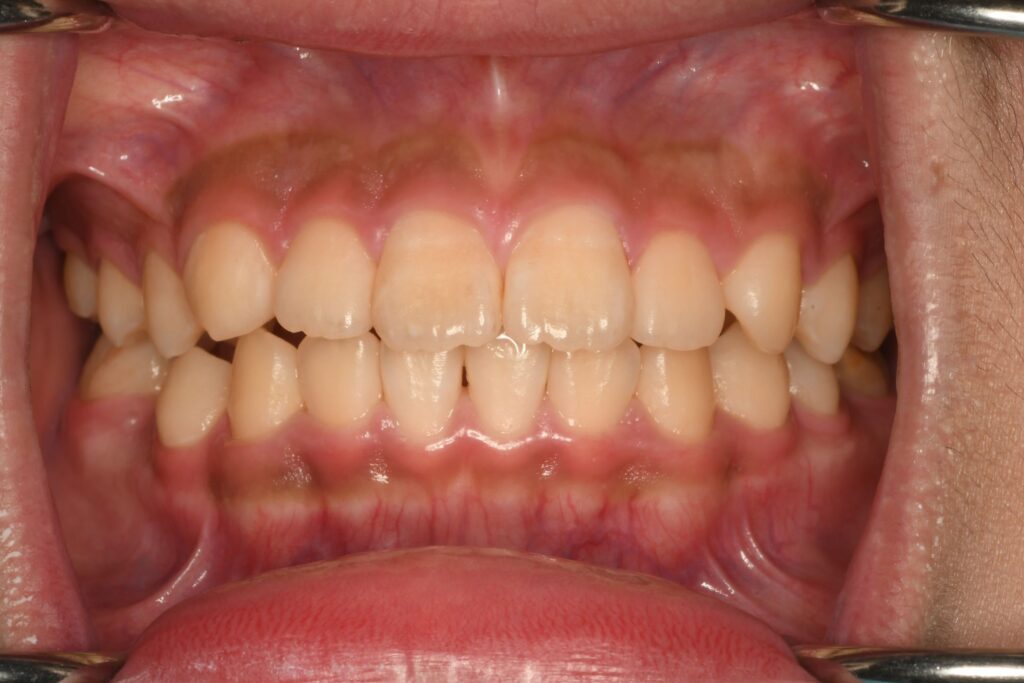
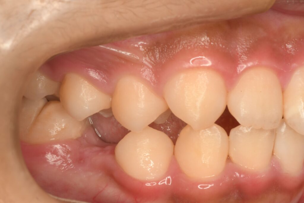
正面から観るとわかりずらいと思いますが、噛み合わせが微妙にズレています。ズレている理由は、歯が1本もともと無いからです。いわゆる先天欠損です。以前から把握できていましたが、色々と相談をしながらどうしようかを考えていました。最初は子供はをできる限り使っていこう‼︎という計画でいましたが、あまり持ちませんでした。歯がなくなっても本人がそれほど気になっていなかったこともあり、歯が無い状態で過ごしつつ、歯の病気にさせないように関わり続けていました。歯を削ったり、インプラントにしたりするのは、できる限りおすすめしたくなかったので矯正治療の提案をしていました。
本人がどうにかしたいという気持ちが大きくなってきたので、矯正治療のための精密検査をして治療をすることでどんな風になりそうかを一緒に考えていきました。


今回の計画は、数段階に分けて治療をしていきます。1段階目は歯の位置関係をできるだけ整える。2段階目は先天欠損している部位の隙間をなくす。3段階目は全体的にはの位置を整える。ことにしました。結構時間がかかると思いますが、本人もお母さんも同意してくれたので治療を開始することになりました。
〜〜〜以下、患者さんの感想〜〜〜
ンビザライン矯正スタート。
今回矯正治療を受けるとこになったのは、幼少期より定期的にメンテナンスを受けていて、先天性欠損歯であることがわかり、歯と歯の隙間を無くす為に矯正治療を選びました。
以前受けた治療計画の説明は分かりやすく自分の歯の状態がわかりました。
今日は透明の歯形のアライナーを固定するためのアタッチメントを歯に付け、アライナーの取り外し方を教えてもらい注意点などの説明を受けました。
アライナーを半日つけ外して食事をした時は、なんとなく違和感があり歯に付いてるアタッチメントが気になりました。初めての装着なので今日は痛みと違和感が強く感じました
〜〜〜以上〜〜〜
矯正治療は長期間かかりますので、これからも一緒に頑張っていきましょう。よろしくお願いします。
