埼玉県坂戸市(東武東上線 北坂戸駅 徒歩10分)にある、もりや歯科 院長 森谷良行(もりやよしゆき)です。
オフィスホワイトニング、2回法、33,000円

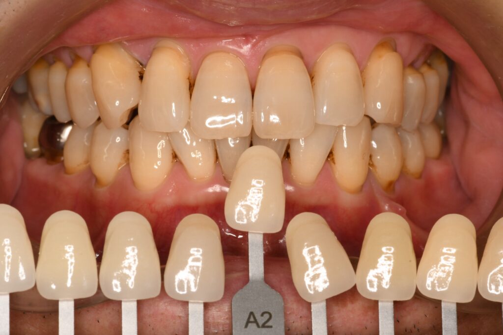
ホワイトニング前はA2ぐらいでした。この状態でも決して悪いわけではありません。今回はこの色がきになるということでオフィスホワイトニングを2回法で行いました。

劇的に白さが出たわけではないですが、1段階程度白さを増すことができました。歯と歯の間にあった着色はコーヒーを1日に多いと5杯飲まれるとのことで、歯に強めに沈着していました。ホワイトニング前にある程度落としましたが、若干残っています。今後は歯を傷めないように丁寧に除去できるかどうかの判断をする予定です。
〜〜〜以下、患者さんの感想〜〜〜
はじめてのホワイトニングで
2セットの施術をお願いしました
年齢により白くへのなりやすさは差があるとのことでした
さすがに1日で劇的に白くなる訳ではありませんが、効果はわかります
自分ではここまでの変化は難しいですし
継続することでもう少し白さが進むことを期待します
〜〜〜以上〜〜〜
これからも良い状態を保つためにお手伝いをさせてください。よろしくお願いします。
