埼玉県坂戸市(東武東上線 北坂戸駅 徒歩10分)にある、もりや歯科 院長 森谷良行(もりやよしゆき)です。
インビザライン矯正治療計画
30ステージ(約7ヶ月間)→追加アライナー2回、合計72ステージ
1日20時間以上装着していただく前提で、1ステージは10日間。
費用
・治療費:346,500円
・調整料:5,500円×11回
・リテーナー:55,000円
年齢・性別
10歳未満・女性
本人の感想(保護者)
だいぶ歯並びが整ってきたところで、あとどのくらい続けるのか不安になりましたが丁寧に説明していただけたのでよかったです。最後の方は同じものをつけていたので汚れが気になりました。
担当医師よりのコメント
始めた頃とは見違えるくらいにとても綺麗な歯並びになりました!本当にやってよかったと思います。子供の時に自分の歯と向き合うことができたので娘もこれからも歯を大事にできることと思っています。矯正で悩んでいる方がいればぜひお勧めしたいです。
現時点の様子

本人も保護者の方にも喜んでいただける結果になって良かったです。

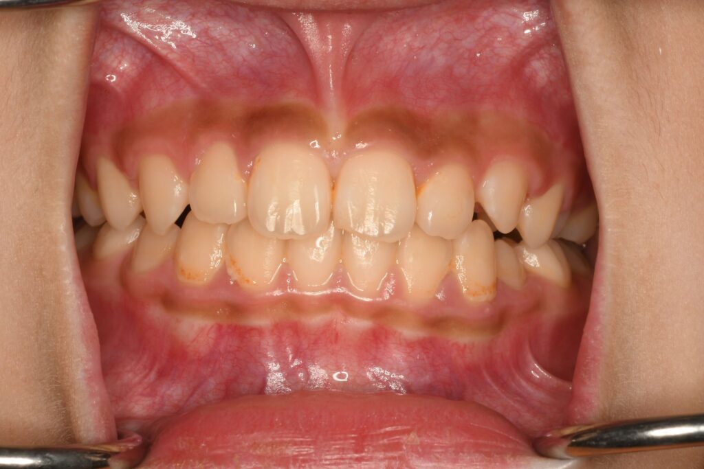
最初がこの状態です。1年10ヶ月かかりましたので、成長とともに変化する歯の位置と矯正治療の調和を目指しました。この年齢で起きやすいことですが、お手入れが不十分になりやすいので定期的にサポートさせてもうことになりました。これからは良い状態を保つためにお手伝いをさせてください。
治療の経過状況
1:治療の相談
2:治療開始
3:治療前半
4:治療後半
5:治療後
当記事
