埼玉県坂戸市(東武東上線 北坂戸駅 徒歩10分)にある、もりや歯科 院長 森谷良行(もりやよしゆき)です。
インビザライン矯正治療。60ステージ。治療費766,700円+調整料(初回)16,500円+調整料5,500円×回数+リテーナー55,000円。
1日20時間以上装着、1ステージ10日間。つまり600日、20ヶ月、1年8ヶ月の計画です。

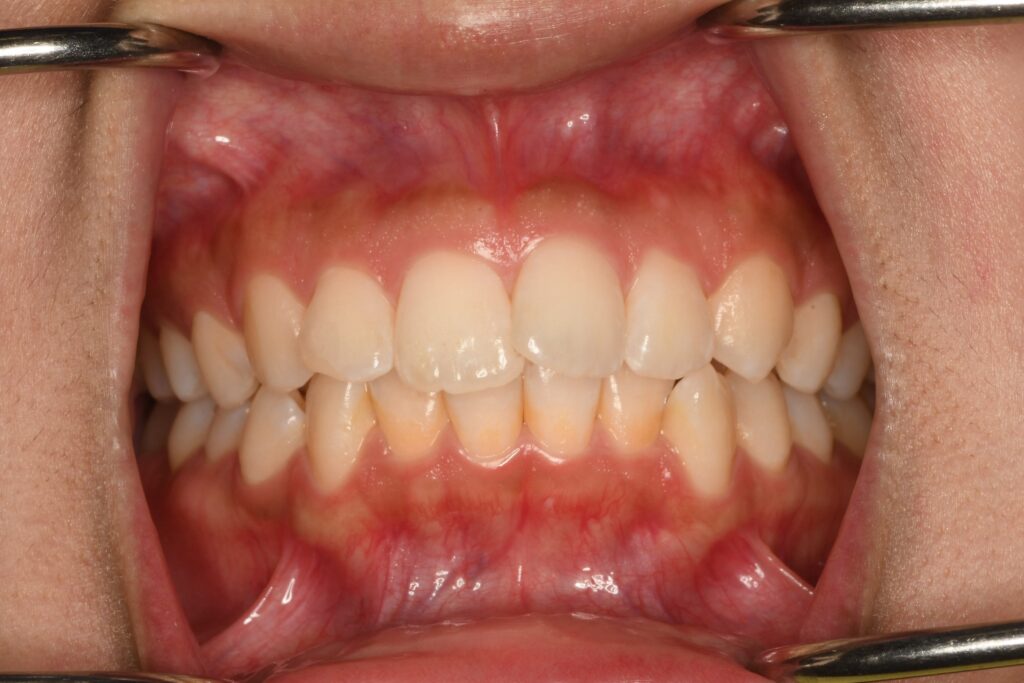
この写真だとわかりづらいですが、出っ歯ではと歯が重なっているのが気になる20代女性のケースです。このようなケースはなおさらですが、スペース作りが矯正治療の肝だと思っています。スペースを作り方法は、いくつかあるのですがどうにかなるだろうではなく、精密検査をさせてもらえれば精度高く確認をすることができます。
今回は奥歯を奥へ移動させることでスペースを作る治療計画にしました。
〜〜〜以下、患者さんの感想〜〜〜
〈2025.1.28治療計画相談〉
小学生の時にワイヤー矯正をしていましたが、成長するに連れて歯並びが戻り、前歯の重なりが気になっていました。ネットで歯科矯正・親知らず・ホワイトニングに強そうな歯科医院を探していたところ、もりや歯科さんが出てきたため矯正治療・親知らずの抜歯について相談させていただきました。(近隣に引越したため坂戸市鶴ヶ島市で検索してました)現在の歯の状況・インビザライン・親知らず抜歯のリスク、治療の進め方について詳しく説明をしていただきました。
〈2026.2.18矯正開始〉
アタッチメント装着時に開口のためのプラスチックの器具を口腔内に入れた時はめちゃくちゃ痛かったです。以前通っていた歯科医院で口が小さいと言われたのでそのせいかぁと思いながら耐えました。アタッチメント装着後は装置のつけ外し方法やセルフケア方法を丁寧に説明していただきました。上顎の装置を外すことがなかなか難しかったですが、コツを教えていただきなんとか自宅でもできました。帰宅後、チューイー(?)などいくつか物品が入っていなかったので、電話で問い合わせたところ「郵送します」と対応していただけてよかったです。1ヶ月後に抜歯と言うことで少し不安もありますが、頑張ろうと思います。今後もよろしくお願いします。
〜〜〜以上〜〜〜

治療後の予想イラストです。この状態を目指して患者さんと頑張ります。
アタッチメントを取り付けるときに、ほっぺたを引っ張る道具で痛い思いをさせてしまって本当にごめんなさい。矯正治療は長期間かかりますので、これからも一緒に頑張っていきましょう。よろしくお願いします。
