埼玉県坂戸市(東武東上線 北坂戸駅 徒歩10分)にある、もりや歯科 院長 森谷良行(もりやよしゆき)です。
インビザライン矯正治療。81ステージ。治療費766,700円+調整料(初回)16,500円+調整料5,500円×回数+リテーナー55,000円。
1日20時間以上装着、1ステージ10日間。つまり810日、約27ヶ月・約2年3ヶ月の計画です。

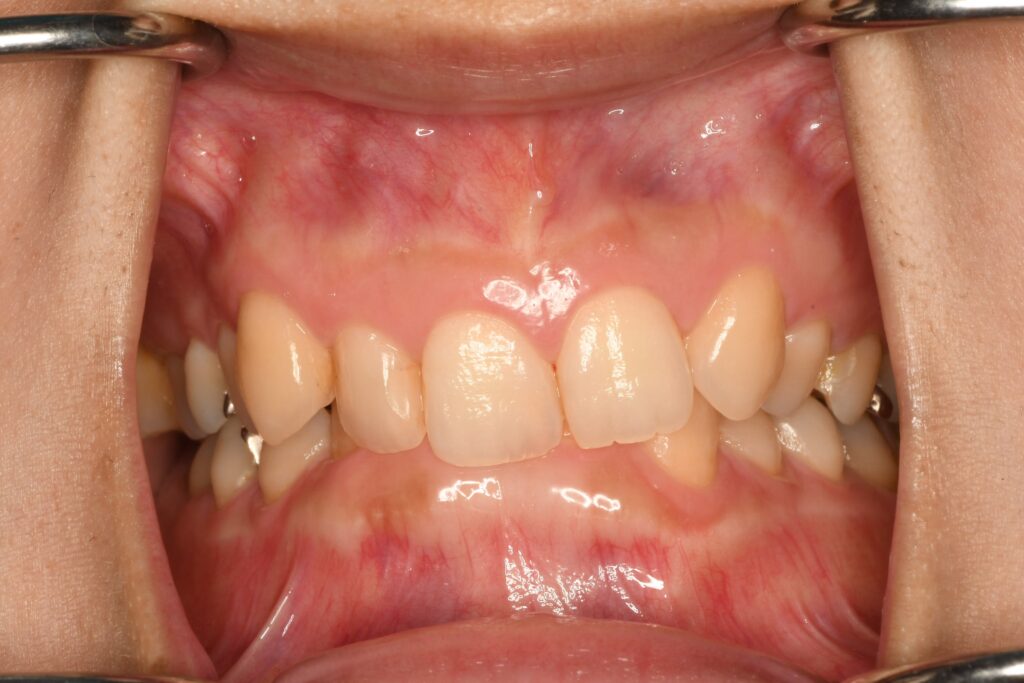
上の前歯が噛みこんでいる(過蓋咬合)のが気になる30代女性のケースです。下の前歯が完全に隠れています。理想なのは下の前歯が3分の1から半分ぐらい隠れる状態です。この様なケースに限らずですが精密検査をして状況判断をする必要があると考えています。患者さん自身が気になっている歯並びのほとんどが原因ではなく、結果がそうなっていることがほとんどです。できる限り原因の改善をしていく必要があると考えています。
検査結果から奥歯の噛み合わせも影響していると判断しました。
〜〜〜以下、患者さんの感想〜〜〜
【相談・計画】
以前から過蓋咬合が気になっており、将来にも不安を感じていたため、インビザライン(マウスピース)矯正について、まずはLINEで相談させて頂きました。すぐにお返事を頂き、まずは診察してみることに。シュミレーションでどのように変わるのかを見せてもらい、こんなに綺麗になるならやってみようかな…と思い、治療を決意しました。
【治療開始~10日まで】
いよいよ治療開始です。
アタッチメントの取り付けと、装着方法を教えてもらって、治療開始となりました。以下、初日から10日までの正直な感想を記します。
1日目:開始するまでわかりませんでしたが、はめるより外すほうが大変です。初回は、上下外すのに5分かかりました(^^;)。痛みはありませんが、口の中の異物感があります。あとはアタッチメントが少々気になります。これを2年、耐えられるか心配ですが…(笑)。頑張ります!!
2日目:食事の時の一連の流れに、少し慣れました。低血糖気味のため、自由に間食できないのが思ったより辛いです(T-T)
3日目:頂いたアライナーを見てみると、後半から目に見えて綺麗になっているのがわかり、モチベーションが上がりました。
4日目:初めての外食でした。アライナーを外すのに苦戦。次回はもっとスムーズにこなしたいです。
5日目:心なしか、噛み心地が変わってきた気がします(?)
6日目:終日、屋外活動と集団行動だったため、歯磨き場所を探すのに苦労しました。外出セットをもう少し充実させようと思います。
10日目:初めてのアライナー交換。痛みはありませんが、締め付け感があります。
新品と作用済みアライナーを比べてみると、どんなにお手入れしていても、10日装着すると汚れが目立つので、洗浄剤を購入しました。
【10日間過ごしてみて】
初日に比べて、異物感が徐々に軽減してきました。眼鏡は顔の一部…のように、アライナーがお口の一部になりつつあります。間食も、初日ほど我慢することはなくなり、食べる時には、潔く外して、計画的に食べることにしました。何年間と装着する予定なので、無理をせず、臨機応変に付き合っていけたら良いなと思ってます。ケアの大変さもありますが、今は、歯並びが良くなるのがとても楽しみで、早く次のアライナーを装着たいなと、思ってます(^-^)
また経過報告します。
〜〜〜以上〜〜〜
非常に細かく矯正治療開始後の変化をコメントしてもらって嬉しいです。

治療後の予想イラストです。この状態を目指していきます。
矯正治療は長期間かかりますので、これからも一緒に頑張っていきましょう。よろしくお願いします。
