埼玉県坂戸市(東武東上線 北坂戸駅 徒歩10分)にある、もりや歯科 院長 森谷良行(もりやよしゆき)です。
インビザライン矯正治療計画
41+9ステージ(約1年4ヶ月間)
1日20時間以上装着していただく前提で、1ステージは10日間。
費用
・治療費:528,000円
・調整料:5,500円×回数
・リテーナー:55,000円
年齢・性別
10代・女性
患者さまの感想
追加のアライナーも終わり、満足いく歯並びになったので治療を完了しました。私はここで終了しましたが、満足いくまで治療開始から5年間はいつでも追加対応して頂けるとのことで安心でした。
治療完了から2年が経ち、リテーナーも3枚目で保定期間も概ね終了していますが、夜間のリテーナーは続けています。2年半経っても、夜リテーナーをはめると少し痛みのようなものを感じるので、やはり歯は動いているのだなぁと感じます。綺麗な歯並びを維持したいので、リテーナーはずっと続けていこうと思っています。
歯磨きもしやすくなり、見た目もキレイになって、40代ですが矯正にチャレンジして本当に良かったです。長い間支えて頂き、医院のみなさまには感謝しかありません。ありがとうございました。
担当医師よりのコメント
リテーナーへ変更して、2年経過しましたがほぼ問題ない状態です。

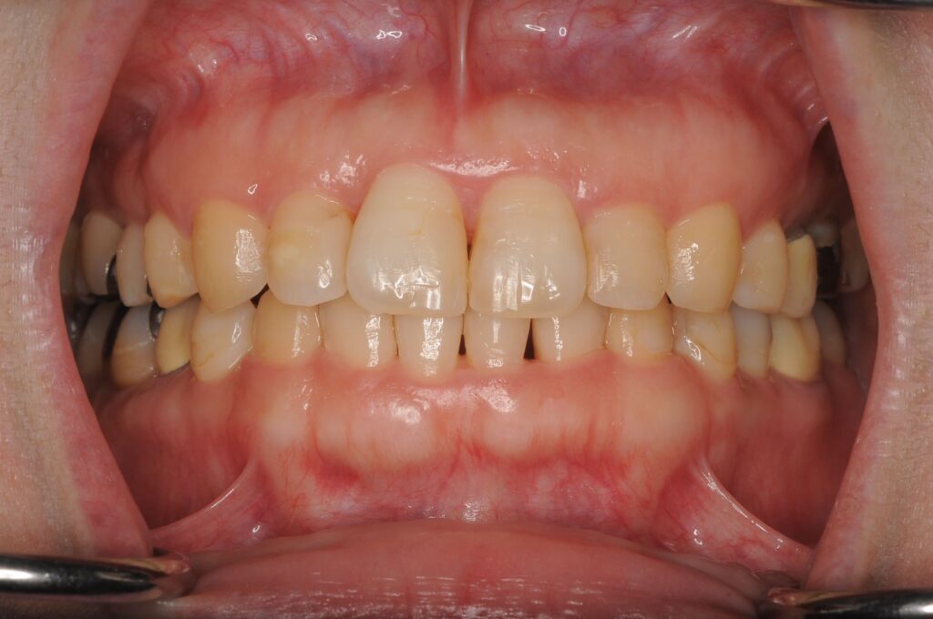
治療を全て終えて、1ヶ月後の写真です。最初から比べたら前歯の状態が整っています。整ったことで歯と歯の間の歯茎に黒い影が目立つようになっています。治療を始める前からある程度予想をして伝えていましたのでトラブルにはなっていません。これ以上悪くならないように経過を診させてもらっています。

治療前の状態がこんな感じでしたから随分良くなったと思います。
誰でもですが、当初気になっていたことがクリアーすると次に気になることが出てきます。もし気になれば治療を微調整すれば良いだけです。
治療の経過状況
1:治療の相談
2:治療開始
3:治療前半
5:治療後
