埼玉県坂戸市(東武東上線 北坂戸駅 徒歩10分)にある、もりや歯科 院長 森谷良行(もりやよしゆき)です。
インビザライン矯正治療。44ステージ。治療費766,700円+調整料(初回)16,500円+調整料5,500円×回数+リテーナー55,000円。
1日20時間以上装着、1ステージ10日間。つまり440日、約15ヶ月・約1年3ヶ月の計画です。

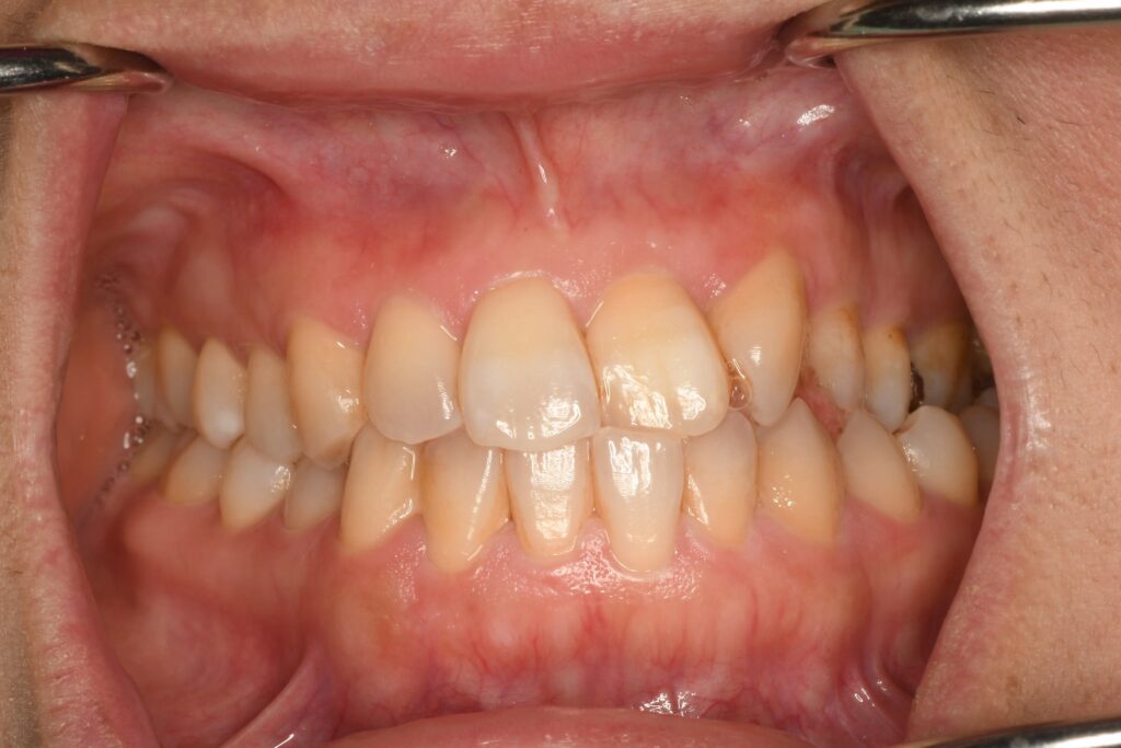
今回は左上側切歯(中央の歯から1本隣の歯)が先天欠損(生まれた時からない)なので、ズレて噛み合わせが崩れてしまったようです。あまり気になっていなかったようですが、当院で定期検診を繰り返すうちに歯並びを整えたいという思いが強まって矯正治療をすることになりました。このような時もですが、どんな状態でも精密検査は欠かせません。簡単、難しいに関わらず状況を把握することが大事です。
もともと1本ない状態を見た目も含めてどのように整えるのか?今回の焦点はこの1点です。数パターン提示させてもらって、今回は歯を抜かないし、もともとない1本のところに隙間を作るらずに歯並びを整える治療計画にしました。
〜〜〜以下、患者さんの感想〜〜〜
(2026.2.28 治療計画相談)
歯の検査を綿密にしてもらい歯並びや歯が1本欠損していることが分かりました。そのまま気が付かずに大人になっていました。先生は丁寧で細かくわかりやすく歯科矯正のメリット、デメリットを教えてくださいました。メリットのお話しがこれからの人生に大部分で先生にお願いししようと決めました。治療期間は15か月【1年3か月】の期間ですが頑張りたいと思います。
(2026.4.4 治療開始)
インビザライン矯正を開始して数日は違和感がありました。口内炎が2箇所と舌先が下のアイライナーにあたる感じが気になりました。1週間ほどで装着になじみ口内炎も数日で治りました。アイライナー装着時は水しか飲めないので間食の機会は減りました。食生活のメリハリにもなり健康習慣も変わりそうです。アイライナーは10日間で交換になりますがやっと慣れてきた頃に新しい物をつけるので1日は違和感はありますがすぐに馴染みました。まずは1か月アイライナーの装着が慣れるように過ごしたいと思っています。
〜〜〜以上〜〜〜
今回のように矯正治療だけ完結できないようなケースは、歯を補う経験値も必要になります。専門性を高めることも大事ですが、幅広く精通することも大事だと改めて考えさせられました。
矯正治療は長期間かかりますので、患者さんと一緒に頑張っていきます。よろしくお願いします。
