埼玉県坂戸市(東武東上線 北坂戸駅 徒歩10分)にある、もりや歯科 院長 森谷良行(もりやよしゆき)です。
インビザライン矯正治療。全68ステージ→全82にステージ。追加アライナー1回。治療費554,400円+調整料5,500円×18回+リテーナー55,000円。
1日20時間以上装着、1ステージ10日間。つまり820日、約28ヶ月。約2年4ヶ月間の計画です。

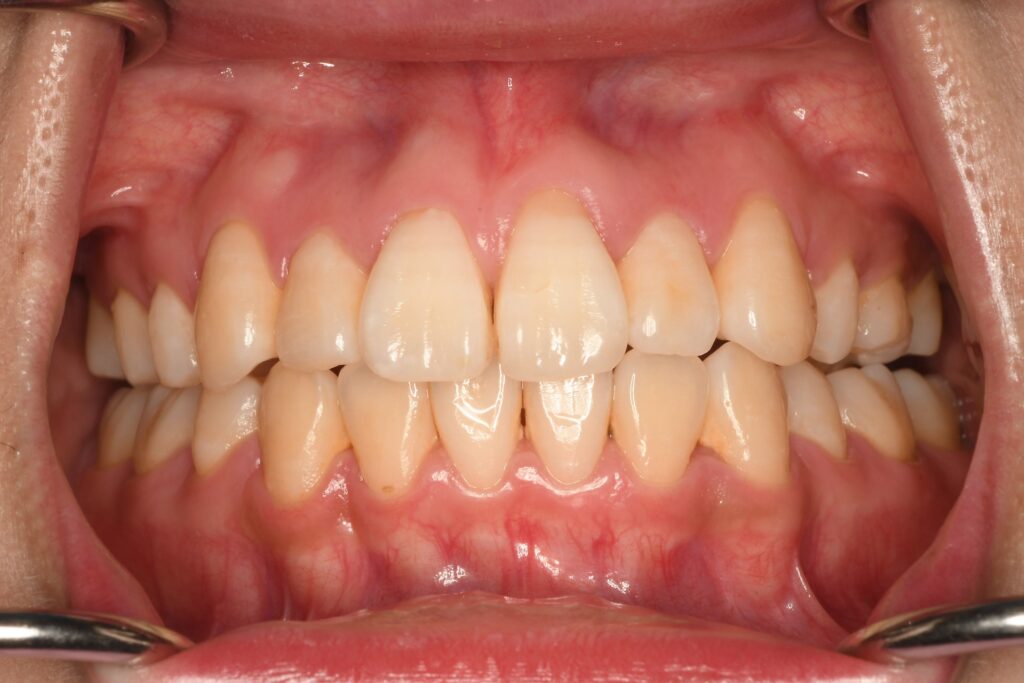
治療後の写真です

治療前はこんな感じでした。見比べると別物ですよね。インビザライン矯正でも治せるんです。もちろんダメなケースもあります。その辺の線引きが大事だと感じています。
〜〜〜以下、患者さんの感想〜〜〜
追加のマウスピース14枚が終わった後、奥歯は良くなったのですが、まだ歯並び特に前歯の横の歯をもう少し出したいということが気になってゴムを前歯にかける生活を1ヶ月しました。それでもまだ気になるので次はゴムを二重にするようにしてさらに1ヶ月、そしてようやく満足する歯並びになり、リテーナーを受け取りました。
やり続けるにつれて、これが綺麗なのか?どこまで行ったら満足するのかと思い始めて自分の理想がよく分からなくなる時もありましたが、今はとても満足しています!約2年の予定が、約3年かかりましたが、やって良かったなと心から思ってます。せっかく綺麗な歯並びになったので綺麗な歯を保ちたいと思い、ホワイトニングも予約させてもらいました。次はホワイトニングで伺うのが楽しみです。リテーナーを3枚受け取ったのでこれをサボらず、後戻りしないように今後も頑張りたいです。
〜〜〜以上〜〜〜
長期間の治療、お疲れ様でした。治療期間が1年延長することになりましたが、満足できる結果になって良かったです。これからは整った状態を保つためいサポートさせてください。よろしくお願いします。
【治療相談時のブログ】https://moriyashika.com/archives/5652
【治療開始時のブログ】https://moriyashika.com/archives/6466
【治療前半のブログ】https://moriyashika.com/archives/7569
【治療後半のブログ】https://moriyashika.com/archives/10919
