埼玉県坂戸市(東武東上線 北坂戸駅 徒歩10分)にある、もりや歯科 院長 森谷良行(もりやよしゆき)です。
インビザライン矯正治療。60ステージ。治療費766,700円+調整料(初回)16,500円+調整料5,500円×回数+リテーナー55,000円。
1日20時間以上装着、1ステージ10日間。つまり600日、20ヶ月・1年8ヶ月の計画です。

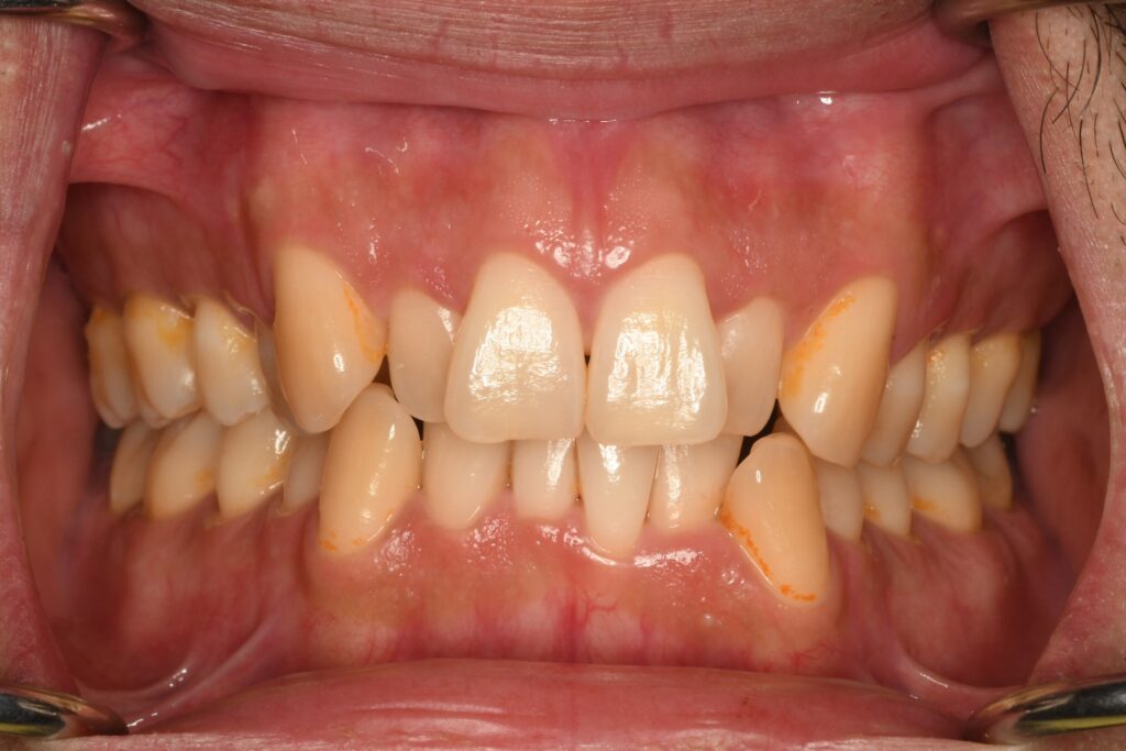
前歯が凸凹しているのが気になる40代男性のケースです。このようなケースに関わらず、矯正治療は隙間をどうするのかがメインテーマです。今回の場合は、顎の大きさと歯の大きさのアンバランスと奥歯が前の方に位置して生えてきたことが原因と思われます。あくまでも予想です。この予想がそうだねってなるためには精密検査が必要です。
検査をした結果、奥歯が前に生えてきたことで前歯の空き場が少なくなって凸凹になったようです。今回の治療計画は、親知らずが上下左右に生えているので4本の親知らずを抜いて、その隙間を利用して歯並びを整えることにしました。
〜〜〜以下、患者さんの感想〜〜〜
【2026/1/24 初診】
インビザライン歯科矯正に興味があり、通やすい場所かつ評価の高いもりや歯科さんを受診。
専用のスキャナ(?)で現状の歯並びをスキャンし、コンピュータ上でざっくり矯正後のイメージを見せてもらいました。
【2026/2/14 打合、相談】
先生と打ち合わせを実施、全体のスケジュールや金額のイメージ、注意点などを教えてもらいました。
【2026/3/14 契約、料金支払】
詳細な歯の動きシミュレーションを見せてもらい、正式な契約、料金の支払いを行いました。
この時点から専用マウスピースの製作が始まるとのことでした。
【2026/3/28、2026/4/4】
歯科矯正にあたり親知らずを抜歯する必要がありました。3/28に右上下の抜歯、4/4にインビザライン用のアタッチメントを取り付けた後、左上下の抜歯、インビザライン装着のレクチャーを受けました。
スケジュールの関係で抜歯とインビザライン開始を同じ日にしましたが、余裕があるのであれば抜歯とインビザライン開始の日付を別にした方が良かったと思います。
どうしても出血があり、それがマウスピースの中に入り掃除が大変でした。
現在2/60ステージ
装着後1、2日は歯が引っ張られている感じを受けますが、その後は落ち着きます。
食事で外す時に噛み合わせが変わっており、歯が動いているのだな〜と感じております。
〜〜〜以上〜〜〜
矯正治療は長期間かかりますので、患者さんと一緒に頑張っていきます。よろしくお願いします。
