埼玉県坂戸市(東武東上線 北坂戸駅 徒歩10分)にある、もりや歯科 院長 森谷良行(もりやよしゆき)です。
イビザライン矯正治療。29ステージ。治療費554,400円+調整料(初回)16,500円+調整料5,500円×回数+リテーナー55,000円。
1日20時間以上装着、1ステージ7日間。つまり203日、約7ヶ月の治療期間。追加アライナー1回。

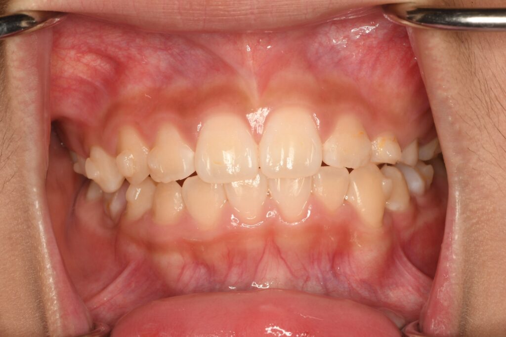
乳歯と永久歯が混在している状態での矯正治療は、前半として永久歯が生えそろうだけのスペースを確保する事。後半は生えてきた永久歯を整える事。今回は前半の矯正治療を終える段階になりました。今後はこの状態を保ちつつ、病気させないで永久歯が生えてくるのを経過観察していきます。
〜〜〜〜以下、患者さんの感想〜〜〜〜
【その1】9月にメンテナンスと検診と歯の状態を診ていただきました
とても、状態も良く綺麗で嬉しいです
とても感謝の気持ちでいっぱいです
このまま続けて良く、歯に着けているアタッチメントを外してしまうとインビザラインをつけた時にプカプカしてしまうので、外さずに使用していく様です
また、乳歯の生え変わりで少し歯並びが変化するかもしれないので様子見てゆく事です
説明と解らない事も対応してくださいました ありがとうございます
このまま、経過観察しながら変化を楽しみながら見てゆきたいと思います
これからもよろしくお願いいたします
【その2】先日は、メンテナンスと検診と歯の状態を診ていただきました
歯の状態も良くとても良かったです
感謝の気持ちでいっぱいです
ありがとうございます
歯のレントゲンも撮っていただきました
これからの生え変わる時、斜めに生えてくる可能性があるとの事です
心配ではありますが、このまま経過観察して様子をみていくことになりました
変化を楽しみながら見ていきます
これからも、よろしくお願いいたします
〜〜〜〜以上〜〜〜〜
これからも宜しくお願いします。
【治療相談時のブログ】https://moriyashika.com/archives/10162
【治療開始時のブログ】https://moriyashika.com/archives/10221
【治療前半のブログ】https://moriyashika.com/archives/10257
【治療後半のブログ】https://moriyashika.com/archives/10589
