埼玉県坂戸市(東武東上線 北坂戸駅 徒歩10分)にある、もりや歯科 院長 森谷良行(もりやよしゆき)です。
ビザライン矯正治療。46ステージ。治療費766,700円+調整料(初回)16,500円+調整料5,500円×回数+リテーナー55,000円。
1日20時間以上装着、1ステージ10日間。つまり460日、約15ヶ月、約1年3ヶ月の計画です。

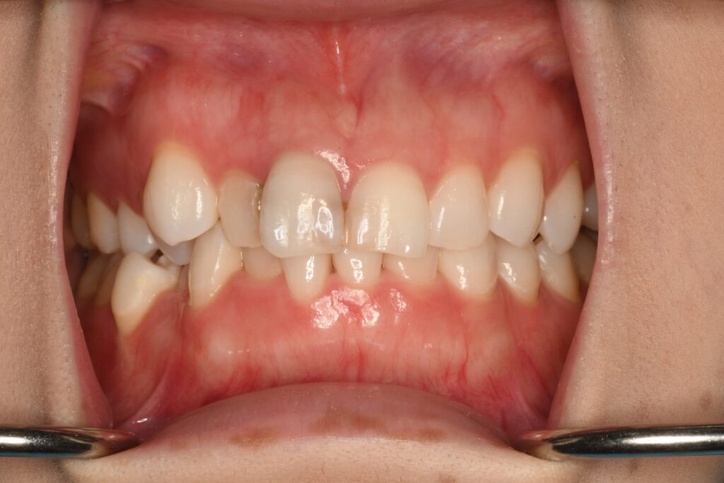
前歯が凸凹しているのが気になるなる20代女性のケース。今回に限らずですが、矯正治療の基本は隙間作りです。その隙間をどうやって作れるかが治療の分かれ道。方法論として、歯を抜く、歯と歯の間を形態修正する、奥歯を奥へ移動する。を一つあるいは複数選んで治療をします。どれを選べるかは、今の状態を知る必要があります。知るためには精密検査をします。
今回は検査をすると、骨格的に奥に隙間があるので奥歯を奥へ移動させて隙間を作る計画にしました。
〜〜〜〜以下、患者さん感想〜〜〜〜
歯のがたつきと噛み合わせが深いのが気になってましたが、費用の面で今まで矯正を先延ばしにしていました。もりや歯科さんに伺う前に、別の歯科のカウンセリングを受けましたが、ワイヤー矯正を勧められ、上下左右の前から4番目の歯を合計4本抜歯が必要と言われました。ですが、どうしてもワイヤーを装着するのが嫌で躊躇していました。
友人がもりや歯科さんでインビザライン矯正をしたとのことで、紹介していただきました。カウンセリングでは現在の歯の状況などを丁寧に説明していただきました。検査の結果、親知らずの抜歯のみでインビザラインでの矯正が可能とわかり、費用の面でも思っていたよりお安くできるとのことでこちらで矯正をすることに決めました。
まず、親知らずを2本抜歯しました。麻酔は痛かったですが、抜歯自体は痛みはなく、その後も腫れや痛みはなかったです。
1週間後に歯の表面にアタッチメントをつけ、アライナーを装着しました。アタッチメントは表面がザラザラしており、歯の汚れみたいに感じました。歯ブラシして取れてしまうかと心配になりましたが、しっかりくっついていて安心しました。アライナーの装着時、痛みはありませんでしたが、喋りにくさや違和感はありました。付け外しやお手入れの仕方など丁寧に説明していただき、1ヶ月後にまた伺う予定です。
アライナーは全部で46ステージあり、約1年4ヶ月かかる予定ですが、虫歯にならないよう歯ブラシ等頑張りたいと思います。
現在アライナーつけて4日目で、まだ喋りにくさが少しありますが、慣れてきました。上のアライナーを取るのが難しく少し手こずっています。
〜〜〜〜以上〜〜〜〜

この状態を目指して、患者さんと一緒に頑張っていきます。
