埼玉県坂戸市(東武東上線 北坂戸駅 徒歩10分)にある、もりや歯科 院長 森谷良行(もりやよしゆき)です。
インビザライン矯正治療。69ステージ。治療費631,400円+調整料(初回)16,500円+調整料5,500円×回数+リテーナー55,000円。
1日20時間以上装着、1ステージ10日間。つまり690日、23ヶ月・1年11ヶ月の計画です。

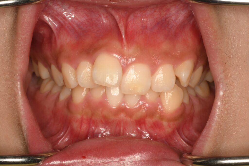
前歯がデコボコしているのが気になる20代女性のケースです。このよう場合に、「よくある質問が前歯だけで治したい」と聞いていることです。「前歯だけでの矯正治療はお勧めできない」と答えます。理由は整えることはできるかもしれませんが、出っ歯になったり、そもそもが前歯だけで矯正治療をしてはダメなこともあります。ネットの上に書いてある甘い言葉に惑わされないようにして下さい。ただ、前歯だけでできるようなケースもあるのは事実です。そのことを見極めるためにも精密検査は必要です。
精密検査が必要な理由はこちらの記事で詳しく説明をしています。https://moriyashika.com/archives/2927
検査結果から奥歯を奥へ移動させることで、隙間を作り出して前歯を整えることができることが解りました。上下左右に親知らずがあったので抜いて、そのスペースへ奥歯を移動させることにしました。

治療後の予想イラストです。この状態を目指して患者さんと一緒に頑張っていきます。
〜〜〜〜以下、患者さんの感想〜〜〜〜
長年にわたり笑った時の歯並びに悩んでいました。たくさん調べてもりや歯科さんを見つけてカウンセリングなどもさせてもらいました。とても丁寧に悩みを聞いたり相談させて頂けたのでここで矯正治療をしたいと思い決めました。
治療計画では実際の歯の変化をモニターで見せていただいたり、親知らずの抜歯が必要になるという話をされました。少し抜歯となると怖さもありましたが、抜歯をすることにより歯並びを揃えた時に歯が出っ歯にならずに動かせると説明して頂きました。
治療費についてですが、通院費やリテーナーにかかる費用についても詳しく聞くことができたので安心でした。
疑問点なども解消してくださったのでこれからの治療生活を前向きに進めていけそうです。長期間にはなると思いますが、綺麗な歯並びになれるよう頑張ります。
〜〜〜〜以上〜〜〜〜
宜しくお願いします。
【治療開始時のブログ】https://moriyashika.com/archives/11877
【治療前半のブログ】https://moriyashika.com/archives/11881
 
																							 
													
